美奈の日記 28

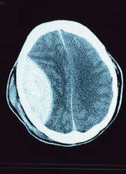
 先日とは反対に、静香さんの車に乗って埼玉医大総合医療センターへと向かう。  やがて田園地帯の中にそびえ立つ医療センターが見えてきた。  ママの死の宣告が一刻一刻と近づいてくるようで身体が震えてしようがなかった。  それから一時間後。  ボクは主治医の先生から、臓器移植に関わる説明を受けていた。 「これが今朝撮影したばかりの君のママの脳の断層写真だよ」  と言いながら、ライティングボードに写真フィルムを貼り付けた。  ボードの光に照らされて脳の映像がくっきりと浮かび上がった。 「そしてこっちが、ここへ運び込まれたばかりのもの」  と、さらにもう一枚。 「事故直後のものから説明しよう。まず注目してほしいのが右脳と左脳との境にある正中 線だよ。正中線は本来、脳の中心にあるものだが、片側に大きく偏っているのが判るだろ う? これは事故の際に頭部に大きな衝撃を受けて、脳全体が左脳の方へ動いてしまった 事を示している。この時に呼吸中枢を司る延髄などの脳幹部が大きな損傷を受けて、自発 呼吸のできない植物人間状態に陥ったことが確認された。仮に脳幹部が助かっていたとし ても、これだけ大きく動いてしまったのは、左脳にとっては致命的だ。ほんの少し動いた だけでも麻痺が残るもの、この場合は右半身麻痺となるがね。……と、事故直後の断層写 真が物語る事実だよ。ここまでは判るかな?」  脳が臓器の中でも、特にデリケートなことは知っている。  物理的な衝撃だけでなくとも、精神的な衝撃を受けても壊れてしまうことも。  詳しいことまでは判らないが、写真に見るとおりに大きく偏っているのを見せられては、 真実を納得させるには十分な証拠だった。 「うん……」  ボクは静かにうなづくしかなかった。 「それでは次の断層写真。今朝撮ったものだが、さっきのと違いが判るかな?」  と、尋ねてきた。  両方の断層写真を見比べてみる。 断層写真  違いはすぐに判った。 「画像がぼやけてる……」  すぐに主治医が説明に入った。 「その通りだよ。ぼやけていると言ったが、画像がぼやけているのではなくて、脳内血腫 によって血管からの出血や、組織からの浸潤による浮腫によって、脳全体が圧迫されて破 壊されてきているんだよ。もちろん脳表面にあるはずの皺も消失している」  断層写真を見せられて解説を受ければ、もはやママの完全なる脳死状態を認識しないで はいられない。 「さて、ここから本題に入るよ。断層写真に見るとおりに、君のママの脳死は明白なる事 実だよ。臓器移植法におけるその他の確認すべき事項もすべて脳死状態を示しているんだ。 そして昨夜における判定会議において脳死の確認と、臓器移植が決定された」
     
11